CAT scans reveal COVID damage on people lungs

The Royal Australian and New Zealand College of Radiologists have revealed CAT scans that show just how much damage to your lungs the coronavirus can do.
Though many will be quick to say that COVID-19's death rate is relatively low compared to other deadly diseases, X-rays have revealed the extent to which it can be harmful to one's lungs.
Discover our latest podcast
COVID-stricken lungs
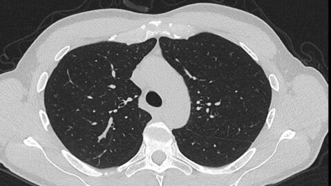
For contrasting purposes, a set of healthy lungs under a CAT scan will show black gaps that are filled with air as it is intended to be.
More under this adMore under this ad
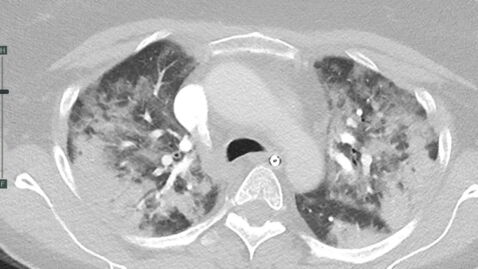
But a second bird's eye perspective of a set of lungs that were affected by the coronavirus under a CAT scan will show the complete opposite of what they should normally look like. College member Associate Professor Stefan Heinz explains that:
More under this adMore under this adThe lungs in the patient who has Covid are all white and full of inflammatory cells and virus and abnormal cells. When it gets as bad as the one in the, in the CAT scan they can end up needing to have mechanical ventilation so you really have to pump the air in through an endotracheal tube.
And added:
That's why he's got these tubes, that's the ETT or the endotracheal tube, that's where you have an operation that just goes down into your trachea and then mechanically ventilates you and that allows them to get a lot more oxygen to the parts of the lungs that are working.More under this adMore under this ad

Vaccines are the answer
Though Dr. Heinz explains that the second image is that of an extreme example, people who have recovered from the virus have shown scarring in the lungs weeks and months post exposure. He also explained that the only way to avoid this from happening is protecting oneself with vaccines as it has been proven to dramatically reduce cases requiring intensive hospitalisation.
More under this ad